さまざまな症例をご紹介します
矯正治療を検討されているときには、ご自身やお子さんの歯並びが本当によくなるのか不安を覚えることもあるのではないでしょうか?
こちらでは、さまざまな歯並びに対するさまざまな矯正治療方法をご覧いただけるよう、いくつかの症例をご紹介します。
口元が美しくなった症例
- 術前

- 術後

29歳から3年ほど透明なブラケット ヘッドギア 顎間ゴムを使用して歯並び、咬み合わせだけでなく、非常にきれいな口元となりました。上下左右4本の歯を抜いています。
- 術前

- 術後

大学2年生から治療を始めました。大変難しい症例でしたので、4年弱はかかってしまいましたが、歯並び、咬み合わせだけでなく横顔も大変美しくなりました。透明なブラケットと顎間ゴム、ヘッドギアについては途中から歯科矯正用アンカースクリューに切り替えました。抜歯を行っている症例です。
- 術前

- 術後

19歳から裏側からの装置で治療を行いました。治療開始時はモデルの仕事もやられていたとのことで、カメラマンにも随分口元が綺麗になってきたねと言われたとのことです。治療期間は2年半ほどです。抜歯を行っている症例です。
- 術前

- 術後

17歳で治療を始めた男性です。当初はヘッドギアを使っていませんでしたが、途中から使用してもらいました。金属のブラケットを使用しています。治療期間は3年ほどです。抜歯を行っている症例です。
- 術前

- 術後

29歳から2年半ほど治療を行いました。年齢にしては虫歯も多くそれにより抜歯もやや変則的なものでしたが、金属のブラケットと顎間ゴムにより良い結果を得ることができました。抜歯を行っている症例です。
- 術前

- 術後

18歳から治療を始めました。透明なブラケットとヘッドギア、顎間ゴムを用い2年半で治療が終わりました。歯並び、咬み合わせだけでなく口元も随分きれいになりました。抜歯を行っている症例です。
- 術前

- 術後

16歳から治療開始。治療期間は2年2ヶ月です。透明なブラケットとヘッドギア、顎間ゴムを使い抜歯を行っている症例です。
- 術前

- 術後

22歳から透明なブラケットで治療を始めました。当初はヘッドギアを使用していましたが、治療4ヶ月で本人の希望により歯科矯正用アンカースクリューに変更しました。治療期間は3年3ヶ月。抜歯をして治療を行いました。
- 術前

- 術後

21歳から治療を金属ブラケット、ヘッドギア、顎間ゴムを使用して行いました。咬み合わせがとても深く、治療には5年1ヶ月と長い時間がかかりましたが、良い歯並び、良い咬合、良い口元を得ることができました。抜歯をして治療を行っています。
- 術前

- 術後

21歳から透明なブラケットで治療を行いました。途中で結婚のため遠方に引っ越されましたが、その後も1~2ヶ月に一度の来院を続けて頂き、3年6ヶ月と治療期間は長くなりましたが、良好な結果を得ることができました。初め1年6ヶ月ほどはヘッドギアを用いましたが、引っ越しをきっかけに患者さんの希望により歯科矯正用のアンカースクリューに変更しました。抜歯をして治療を行っています。
- 術前

- 術後

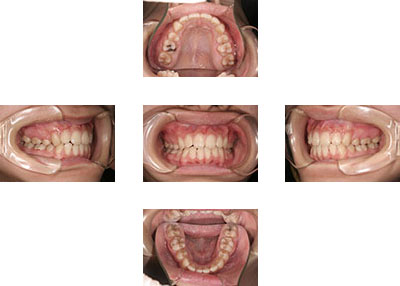
23歳女性 透明なブラケットを用い、1年9ヶ月ほどの治療期間で、口元を悪くすることなく、抜歯をしないで治療を行った症例です。
歯並びがよくなった症例
- 術前

- 術後

永久歯が生えそろってすぐ治療を開始しました。治療期間は2年。透明なブラケットを装着。ヘッドギアは使用せず顎間ゴムだけを使用しました。
- 術前

- 術後

やはり30歳から治療を始めた女性です。上下に透明なブラケットを使用しヘッドギア、顎間ゴムも併用していただきました。治療期間は約2年半です。治療を始めるころは結構の予定はないとおっしゃっていましたが、治療終了後すぐ結婚式をあげられました。
- 術前

- 術後

永久歯が生えそろってすぐ治療を行いました。治療期間は2年弱です。同じ永久歯列の治療でも若年者はヘッドギアの協力も得やすく、歯の動きも良いことがおおいです。装置は金属のブラケットを用いました。顎間ゴムも使用しています。
咬み合わせがよくなった症例
- 術前

- 術後

20歳で八重歯を治したいと言って来院されました。でも前歯は全く咬み合っていない状態でしたので、相談を重ね治療を始めることにしました。外科手術も併用することも相談しましたが、手術はしたくないとのことでしたので、透明なブラケット、ヘッドギア、顎間ゴムを用いて治療を始めました。上下左右の小臼歯を抜歯しています(計4本)。少し遠くから通院されていたので来院間隔が空くことも多かったのですが、4年弱できっちりとした咬合にしあがりました。
- 術前

- 術後

37歳から治療を始めました。前歯が咬み合わないことを気にして来院されました。右上の犬歯もすでになくブリッジがはいっていましたのでブリッジを外し、その隙間を詰めていきながら前歯の咬み合わせを改善するようにしました。透明なブラケットとヘッドギア顎間ゴムを使い治療し3年ほどで治療が終わりました。
- 術前

- 術後

前歯のでこぼこと右側の咬み合わせが悪いことを気にして来院された24歳の女性です。金属のブラケットと顎間ゴムを使い4年ほどかかりましたが咬み合わせは綺麗に改善しました。
- 術前

- 術後

24歳で治療を開始した女性です。透明なブラケットと顎間ゴムを使って治療を行いました。治療期間は約2年。前歯が咬み合わない状態で、上下の真ん中も大きくずれていましたが、綺麗に治りました。
- 術前

- 術後

24歳から治療を始めた男性。治療期間は3年半ほどです。金属のブラケットを用い治療を行い、治療途中から歯科矯正用アンカースクリューを用いています。前歯の反対咬合が改善しています。アンカースクリューについては、治療終了半年後くらいで抜くことにしています。
- 術前

- 術後

- 術前

- 術後

- 術前

- 術後

- 術前

- 術後

- 術前

- 術後

- 術前

- 術後

- 術前

- 術後

- 術前

- 術後

- 術前

- 術後

外科ケース
- 術前
-
- 術後
-
外科ケースについては、早い場合でも治療開始は高校に入ってからになります。当院では学生の患者さんの場合は大学生のうちに手術ができるように治療をすすめることをおすすめしています。女性の患者さんですが、上下顎の手術に加えオトガイの修正も口腔外科の担当医と相談して行い良い噛み合わせとともに、横顔も綺麗になりました。
- 術前

- 術後

高校2年生から治療を始めました。重度の骨格性反対咬合開咬で外科手術を併用した患者さんです。途中大学受験のため治療が滞り、期間は5年と大変長くなってしまいましたが良い結果を得ることができました。
すでに歯に問題があった症例の写真
- 術前
-
- 術後
-
30歳で治療を始めた女性の患者さんです。装置は透明なブラケットを上下に使用いたしました。治療開始にあたり、骨格的なものが原因の上顎前突(出っ歯でしたが)通常の治療で必要な抜歯の他に、左右上の第一大臼歯(前から6番目の歯)が大きな虫歯があったためこれを抜歯しました。その結果、左上については埋まっていた親知らずを並べて健康な歯を活かして治療を終えることができました。予後に不安な歯を残すよりは健康な歯を活かしたいという患者さんの希望を汲んでの治療でした。
大変難しい治療でしたので年弱かかりましたが、非常に良い結果を得ることができました。









